Digital dentures Glasgow, scan and fit

Digital dentures Glasgow, scan and fit

5.0(6 reviews)
Closed today
Friendly StaffGentle CareRestorative

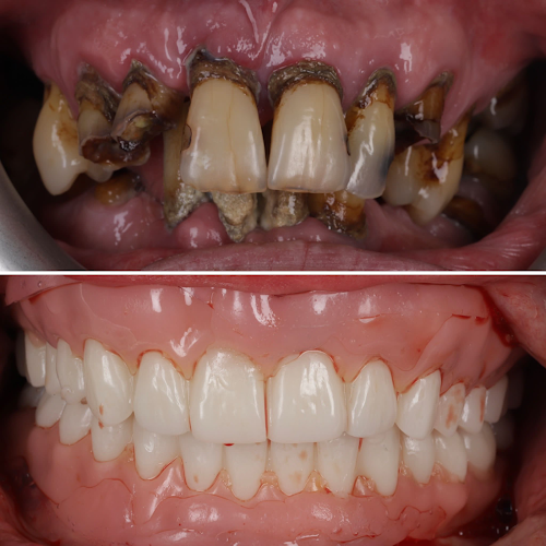
This dental practice is known for its exceptional denture services, providing patients with high-quality repairs and fittings. The team, led by Darren, is praised for their professionalism and attention to detail, ensuring a comfortable experience throughout the treatment process. Patients appreciate the thoroughness and care taken during fittings, resulting in minimal discomfort and excellent outcomes. The practice stands out for its commitment to patient satisfaction and efficient service.

Patient Insights

What Patients Appreciate

Patients are consistently impressed with the quality of work and the professionalism displayed by the staff. Many have noted the thorough approach taken during fittings, which leads to a perfect fit and minimal discomfort. The quick turnaround for repairs is also appreciated, with some patients receiving their dentures back in under an hour. Overall, the dedication to patient care and satisfaction shines through in their experiences.

Things to Consider

While the practice has received overwhelmingly positive feedback, potential patients should be aware that specific details about other services offered are not available. It's advisable to inquire directly about the full range of treatments if you have particular needs.

Contact

118 Queen's Dr, Glasgow G42 8BJ

Glasgow, G42 8BJ

Opening Hours

Monday08:30 - 18:30
Tuesday08:30 - 18:30
Wednesday08:30 - 18:30
Thursday08:30 - 18:30
Friday08:30 - 18:30
SaturdayClosed
SundayTodayClosed
CallWebsite